At Vivant Smile Design, we understand that oral health is essential to overall well-being. Our Oral Rehabilitation service is a comprehensive and personalized solution that focuses on restoring the health and functionality of your mouth. Here we explain what Oral Rehabilitation entails, the procedure, the advantages it offers and why you should choose us for this treatment.


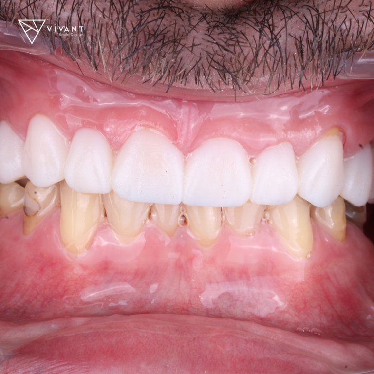
Oral Rehabilitation is a comprehensive approach to restoring oral health in patients with multiple dental or oral problems. The procedure is carried out in several stages:
Yes, Oral Rehabilitation is highly effective and can transform the health and quality of life of patients. With a personalized approach and the use of advanced techniques and technologies, the procedure is successful in most cases.The procedure has a high succes rate.
Addresses and resolves dental and oral problems, including gum disease and tooth loss.
Recovers the ability to chew and speak properly.
Can significantly improve the appearance of your smile.
Rediscover confidence and comfort in your daily life.








There are several reasons to choose Vivant Smile Design for your Oral Rehabilitation:
Oral Rehabilitation at Vivant Smile Design is an investment in your oral health and your general quality of life. We are committed to helping you regain a healthy and functional smile. Contact us today to schedule a consultation and find out how we can improve your oral health and restore your smile.
We hope to see you soon!
With Vivant Smile Design, you get quality care, long-lasting results, and significant savings all in one place. Schedule your appointment and find out why we are the best choice for your smile!
Ave. A #235 Vicente Guerrero,Los Algodones B.C. Mexico 21970| Phone: +1 (928) 287-7034 | Email: hello@vivantsmiledesing.com
Copyright © 2024 | LimonconChileMKT
WhatsApp us